The Cost of Freedom?
Chronic Wasting Disease




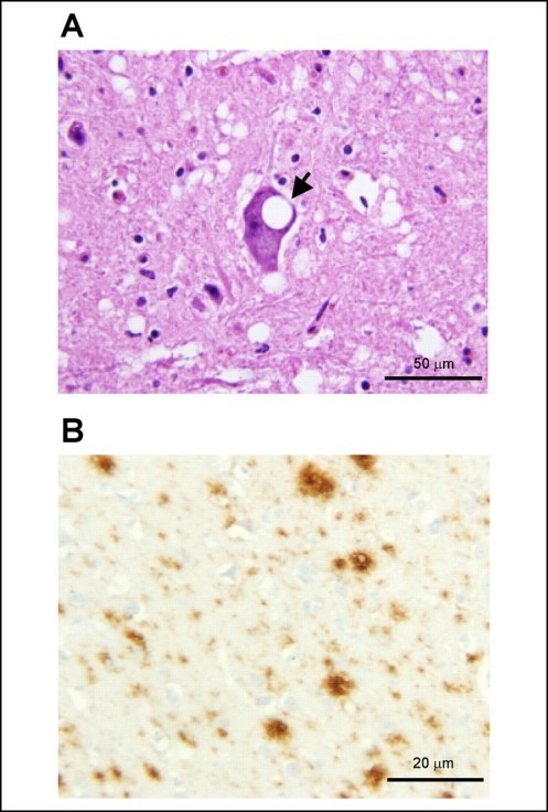
Chronic Wasting Disease of Elk and Deer and Creutzfeldt-Jakob Disease
The emergence and continuing spread of Chronic Wasting Disease (CWD), a prion disease in deer and elk, has now reached 14 U.S. states, two Canadian provinces and South Korea, producing a potential for cross-species transmission of CWD prions to humans and other animals globally. In 2005, CWD spread for the first time from the Midwest to more densely populated regions of the East Coast. As a result, a large cohort of individuals attending a wild game feast in upstate New York were exposed to a deer that was subsequently confirmed positive for CWD.
Air Route Surveillance Radar
The Joint Surveillance System (JSS) is a joint United States Air Force and Federal Aviation Administration system for the atmospheric air defense of North America. It replaced the Semi Automatic Ground Environment (SAGE) system in 1983.
The JSS consists of long range surveillance radars, primarily operated and maintained by the Federal Aviation Administration (FAA), but providing communication and radar data to both FAA and United States Air Force control centers.
FAA equipment is a primarily a mixture of Long Range Air Route Surveillance Radars (ARSR) of various types, although some use legacy AN/FPS radars. They are co-located with UHF ground-air-ground (G/A/G) transmitter/receiver (GATR) facilities at many locations. Fourteen sites have VHF radios as well. The GATR facility provides radio access to fighters and Airborne early warning and control (AEW&C) aircraft from the SOCCs. The JSS has been enhanced under the FAA/Air Force Radar Replacement Program with 44 ARSR-4/FPS-130 radars to replace some of the many previous long-range radars. This provides common, high-performance, unattended radars. The ARSR-4/FPS-130 is a 3-D long range radar with an effective detection range of some 250 miles and has been fully integrated with JSS at all joint use sites.


